ITS A MAD, MAD WORLD:
BOVINE SPONGIFORM ENCEPHALOPATHY

Prepared for
Dr. Bruce R. Magee
Acting Assistant Professor
English Deptartment
Louisiana Tech University
Ruston, Louisiana

By
April E. Storey
English 303 Student

May 1, 1996







7095 Sentell Rd
Shreveport, LA 71107
April 29, 1996

Kendra Pratt
Animal and Plant Health Inspection Services
U.S. Department of Agriculture
 
 

Dear Ms. Pratt:

Here is my report on Bovine Spongiform Encephalopathy and its possible link to the human brain disorder Creutzfeldt-Jakob Disease. In preparing my report, I have learned a great deal about this disease and its possible epidemic effects on the U.K. and the U.S. I believe my report will be of help to anyone of interest including the U.S. Department of Agriculture.

Since this disease has become such a hot media topic, I had no trouble finding sources. Everyone had a great deal of information to give, but definite answers were hard to find. I found that a majority of the information on this disease is speculation, which justifies my conclusion that further research must be done. My research was done by the Internet, libraries, and medical specialists in this field.
 
 

In doing this research, I found that the government plays an important role in the eradication of this disease. In the United Kingdom, the government overlooked this disease in years past, and now is having to make amends for its mistakes. One of my recommendations for the U.S. government is to keep the public informed about the disease and to not overlook this disease. Do not make the same mistake the U.K government did.

I would be happy to answer any questions you might have about this report.

Sincerely,
 
 

April E. Storey
 
 


ABSTRACT

Bovine Spongiform Encephalopathy is a fatal brain disease in cattle. Recent findings show that there is a definite possibility of BSE contaminated meat being a link to Creutzfeldt- Jakob disease, a fatal human brain disease. Since there are no definite anzwers, only speculation, there is a must for extensive research on this disease. This research needs government funding from not only the United Kingdom but also the United States.

Bovine Spongiform Encephalopathy, also known as mad cow disease, has become an epidemic in recent y.ars in the U.K. The cattle get thise disease from eating ground up sheep parts (known as offal) that are infected with the sheep form of BSE called Scrapie. If cattle can get this disease from eating sheep, it is most likely that humans can get this disease from eating beef. Until the early 1990's, the parts that could cause a CJD infection in humans, such as the brain, nervous tissue, lymphoid tissue and the spinal cord, were allowed into the human food chain. This means that a substantial portion of the British population could be infected with CJD and not know it, especially since the incubation period of the disease in humans is up to thirty years. This news has been well publicized in the media, causing a panic among British citizens. Although BSE is not known in the United States, the possibility of an outbreak is always there. This possibility is the reason that the U. S. government must take action so that BSE and CJD do not became the problem it became in the United Kingdom.


TABLE OF CONTENTS


FIGURES AND GRAPHS

  1. Mad Cow cartoon
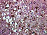
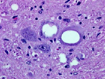
  2. Sheep brain with Scrapie. Magnification x250
  3. Sheep brain with Scrapie. Magnification x500
  4. Human brain with CJD graph
  5. Meat Consumption Graph
  6. Minister of Agriculture with daughter

INTRODUCTION

Purpose

The purpose of this paper is to clarify the necessity for the U.S government to take immediate action to eradicate the possibility of BSE not only entering the country but also making sure it is not all ready present. The United States government needs to do the following to keep BSE out of the United States: keep the ban on British cattle importation, pass a law forcing farmers to comply with the ban on sheep and cow offal, and research possible vaccines.
 
 

History

Bovine Spongiform Encephalopathy, or BSE, is a fatal brain disease affecting cattle in the United Kingdom. The disease was first discovered in 1986 in Britain. BSE causes actual holes in the brain and throughout the entire nervous system. BSE is not a bacteria or a virus; it is thought to be an infectious protein known as a prion.

Review of Recent Literature

BSE, dubbed "Mad Cow Disease" by British newspapers, has become one of the hottest media topics in not only Britain but in the U.S. as well. From local papers to national and international magazines to television programs, BSE has been well publicized (see Fig. 1). Texas A&M University posted a special "Fact sheet on Mad Cow Disease" on their home page, which included a question and answer setup for concerned and interested students. Even Oprah Winfrey had a special show which included views from opposing sides on BSE.
 
 

 Figure 1. Mad cow cartoon. (Minister).



 
 
 

Research Procedure

Since the topic of "Mad Cow Disease" is so recent, my research was done mostly by way of the Internet. I also consulted several experts in their fields on their opinions of the recent scare of BSE. Newspapers, magazines, and television shows were also part of my learning experience on BSE.
 
 


IT'S A MAD, MAD WORLD: BOVINE SPONGIFORM ENCEPHALOPATHY

History of Disease

"BSE (see glossary) is a chronic, degenerative disease affecting the nervous system of cattle" (Pratt). The disease causes loss of muscular coordination, nervousness, and severe muscular twitching (Fact Sheet). Infected cattle tend to stand away from the herd and lose weight, although no loss of appetite occurs. The disease gets its name "spongiform" because it literally bores microscopic holes in the brain, making the brain appear spongy (see Fig. 2&3). Once clinical signs appear, the disease is always fatal. Although a fairly recent disease, over 150,000 cows have been diagnosed.
 
 

 Figure 2. Sheep brain with scrapie. Magnification 250x (Typical).

 Figure 3. Sheep brain with scrapie. Magnification 500x ( Typical).

BSE was first discovered in 1986 in Great Britain. By 1990, BSE had claimed the lives of just under 20,000 cows (Greger). "The epidemic peaked in January 1993 at almost 1,000 new cases per week" (Pratt). Today the number of new cases of mad cow disease is around 300 cows per week.

History of Prions

"Scientists think that cattle may get the disease from eating protein in feed that was probably contaminated with a spongiform disease agent. Scientific evidence suggests that BSE is not a viral or bacterial infection. Rather, it seems to point to a protein material or 'prion' as the cause of the disease" (Fact Sheet). Normal protein material is converted into dangerous ones (prions) by simply changing shape. "Prions are indeed responsible for transmissible and inherited disorders of protein conformation" (Prusiner).

Prions are extremely resistant to heat meaning the average cooking heat will have no effect on them. They are also resistant to normal sterilization processes. "Without detectable DNA nor RNA, not only does no one know how they replicate, but the whole concept challenges the basic tenets of biology. Prions can survive for years in the soil. Even domestic bleach and formaldehyde have little or no effect" (Greger).

Transmission from Sheep to Cow

In sheep there is a naturally occurring prion disease called Scrapie. When a sheep shows clinical signs of Scrapie the sheep is slaughtered to prevent further infection of the herd. This sheep is then usually made into a "protein concentrate (euphemism for mashed-up bits of other animals) left over from the slaughterhouse" (Greger). This protein concentrate, sometimes referred to as offal, is then fed to cows, who are naturally vegetarians, to increase cow size and milk production. The Scrapie infected sheep parts then infect the cow, making the cattle from of Scrapie - BSE.

 In July 1988, Great Britain banned the feeding of Scrapie infected sheep parts to ruminants. Britain also made BSE a notifiable disease and all animals showing signs of BSE were to be destroyed. Farmers that reported the disease were compensated fifty percent of the value of the cow by the greedy government. This low compensation would obviously cause a low report rate because farmers could just overlook a staggering cow and get full market value for its meat. "Cases of BSE are becoming severely under-reported. For instance only forty percent of clinical cases of BSE reaches U.K. government statistics in 1993 (Dealler).
 
 

Transmission from Cow to Human

Before the ban in 1988, the nervous lymphoid, and gut tissues of an estimated two million cows reached human food. BSE is more prevalent is dairy cattle, and although milk is thought to be safe, most dairy cows are quickly retired into hamburger (Greger). "Most parts of the cow are used to make burgers, sausages, pies, stocks and pet food. Until 1989, this also included the brain" (Lacey).

Recently, a new variant of Creutzfeldt-Jakob disease claimed the lives of ten people in Britain. "Experts in Great Britain are concerned there may be a link between BSE and this group of people. If there is a risk, it would be linked to consumption of brain or spinal cord from infected cattle" (Fact Sheet). On March 20 the SEAC (see glossary) met and concluded that "the most likely explanation at present is that these cases are linked to exposure to BSE before the introduction of the ban in 1989" (BSE). Sir Kenneth Calman, Chief Medical Officer also stated on March 20, "these new findings are important and further research is urgently required and this will be funded" (Calman).

Risk Factors to Humans

Although so far only ten people have shown clinical signs of this new variant of CJD, the possibility of a BSE caused CJD epidemic is very possible. Since the incubation period of CJD in humans is up to thirty years, this disease can become "much more serious than AIDS" in years to come. Dr Richard Lacey asserts that a "substantial danger for man exists" (Greger). In an essay written on mad cow disease in 1993 by Michael Greger, he stated "The earliest we could even expect to see people dying from BSE is probably around 1995." Well, surprise, surprise, it all began in late 1995.

 Yes, the government says its safe to eat British beef, but do they really mean what they say? "Neuropathologist Sir Bernard Tomlinson announced to the world that he had personally decided to forgo the humble hamburger for fear that he might succumb to the ravages of CJD" (Fitzpatrick). "It is now clear that probably a large percentage of the population will have been exposed to BSE in the UK (Dealler). "Or as Dr. Lacey put it, virtually a whole generation of people may die" (Greger)
 
 

History of CJD

Creutzfeldt-Jakob disease occurs worldwide. This disease, like Bovine Spongiform Encephalopathy, bores actual holes into the brain (see Fig. 4). It appears sporadically, striking one person in a million (Prusiner). The disease is so contagious that a majority of neurologists refuse to do autopsies on these patients, making the estimated "1 in a million" possibly severly underestimated. The incubation period is very long in humans. An innocent child could be slowly dying of this disease and not know it until their late thirties. Clinical symptoms start with changes in sleeping and eating and deteriorate over a few weeks. People with CJD will "wake up one morning twitching and deteriorate weekly into blindness and epilepsy while their brain perforates into a sponge" (Greger).

 Figure 4. Human Brain with CJD (Creutzfeldt).

CJD claimed the lives of two dairy farmers who had tended herds with BSE infected cattle. A fifteen year old Welsh girl developed CJD, despite no family history of the disease, meaning the most probably source of infection is food (Lacey). Since the new cases of CJD, the U.K community, as well as other communities, have become not only angry but scared.
 
 

Angry Community

Since BSE and its possible link to CJD has been so well publicized by the media, many people of the community are scared. When people get scared they stop doing whatever the cause of the scare is; in this case that means to stop buy beef. "By May 1990, a quarter of the British population refused to eat beef (Greger). Also in 1990 a ban was implemented on British beef in school meals (Lacey). Since the recent scare with the new variant of CJD the community has again stopped buying beef. (see Figure 5).
 
 

 Figure 5. Meat Consumption Graph. (Annual).

U.K Government Actions

In the late 1980's when BSE was first discovered the U.K government seemed unconcerned with the disease as a whole. The government said the disease would be completely eradicated by 1995 because of the ban on sheep and cow offal. They denied the fact that BSE was a disease of vertical transmission (see glossary) and overlooked scientists claims that BSE was more of a problem than first thought. In 1990, a then confident Minister of Agriculture, John Gummer munched on a burger, along with four year old daughter, in from of the press to restore community confidence. (See Fig 6).


May 1990:
Agriculture minister John Gummer attempts to allay public fears about the safety of beef by feeding his daughter, Cordelia, a hamburger.

 
 

Figure 6. Minister of Agriculture with Daughter. (Minister)

Today the British government has an angry and confused public to deal with about BSE and its link to CJD. On March 29, 1996, European Unions leaders promised substantial financial help towards destruction of hundreds of thousands of older cattle. (Webster). Recently, seventeen incidents where traces of spinal cord - a material banned from the human food chain - were found on beef carcasses in slaughterhouses in the United Kingdom. Minister of Agriculture said " that he was considering tighter safeguards on abattoirs" (Fletcher). On April 3, Britain agreed to destroy millions of head of older cattle during the next five years in return for partial European Union compensation for farmers whose cattle will be incinerated in an effort to eliminate human exposure to the fatal ailment.

U.S. Government Actions

In the past, the United States government banned the importation of British cattle to the U.S. Since 1991, there has been a strictly voluntary ban in place on the use of rendered products from adult sheep in animal feeds (Fact Sheet). APHIS established a program for BSE surveillance in the U.S., that now has become known as clumsy, unorganized and ineffective.

Today, as well as in the past, the United States government seems confident, perhaps over confident, of themselves and their ability to keep BSE out of the U.S. This overconfidence has an eery ring to it -- sounds all to familiar to the U.K. government about a decade ago when BSE was first discovered. The overconfidence of the United Kingdom government got them no where but into a deeper hole that they are now attempting to dig out of.
 
 


CONCLUSION

Summary of Findings

During my research of Bovine Spongiform Encephalopathy, I learned a great deal. BSE is in epidemic form in cattle in the U.K. Although a ban was implemented years ago that was supposed to completely eradicate the possibility of a disease called BSE in 1996, it is still around. A newly found possible link of BSE contamination to the human brain disease Creutzfeldt-Jakob disease, causes a definite risk factor to humans. In years past the U.K government overlooked the fact that BSE could be a problem and is now facing a very angry community that wants answers. Presently the government is facing a debt of over five- hundred million pounds to help eradicate the disease.

Interpretation of Findings

Although the governments of the U.K. and the U.S. tend to overlook the fact that BSE is a risk to humans, I feel that the community formed their own opinions which differ completely from that of the government. The U.K. government finally realized their mistakes and are now taking actions to eradicate the disease in Britain. The U.S. government remains overconfident and nonchalant about the situation of BSE. In my opinion, BSE is a definite possible link to CJD and an immediate risk to any beef consumer.


RECOMMENDATIONS

The following are recommendations for the United States

Department of Agriculture from my research on BSE:
 
 

  1. Keep the ban on British importation of British cattle AND British beef.
  2. Research for possible vaccines.
  3. Funding for research.
  4. Make the voluntary ban on sheep and cattle offal a law.
  5. Do not overlook this disease
  6. Keep the public informed; secrets only make them scared and angry.
  7. Research possible testing in live cattle.
  8. Even though BSE has never been seen in the U.S., make BSE a reportable disease, making farmers required by law to report a cow that has possible signs of BSE.

SOURCES

Annual percentage change in weekly spending on selected meat products." Http://www.nielsen.com/home/press/uk/beef_2.gif (April 11, 1996).

"BSE."Statement by Spongiform Encephlopathy Committee. Http://www.open.gov.uk/maff/bse/seac2.htm (April 3, 1996).

Calman, Kenneth. "CJD and Public Health." Department of Health. Http://www.coi.gov.uk/coi/depts/6dh/coi6738b.ok (April 8, 1996).

"Creutzfeldt-Jakob Disease." Http://indy.radiology.uiowa.edu/ Providers/TeachingFiles/CNSInfDisR2 (March 29, 1996).

Dealler, S. "Bovine Spongiform Encephalopathy and Public Health." Http://www.cyber-dyne.com/~tom/sci_abstracts.html (April 13, 1996).

"Fact Sheet: Mad Cow Disease." National Cattlemen's Beef Association (NCBA). Http://www.cvm.tamu.edu/fs_bse.html (March 29, 1996).

Fitzpatrick, Machael. "A Mad, Mad, Mad, Mad World." Living Marxism. Http://www.junius.co.uk/LM/LM87/LM87_mad.html (April 8, 1996).

Fletcher, David. "Tighter Curbs on Mad Cow Disease (BSE)." Mad Cow Disease in the News. Http://www.envirolink.org/arrs/news/bse_in_the_news.html (March 29, 1996).

Greger, Michael. "Much More Serious than AIDS." Mad Cow Disease. Http://www.envirolink.org/arrs/AnimaLife/spring94/madcow.html (April 14, 1996).

Lacey, Richard. "How Now Mad Cow?" Viva! Guides: Guide 3. Http://www.cyber-dyne.com/~tom/mad_cow_disease.html (March 28, 1996).

"Minister and Mad Cow Cartoon." Http://www.tecc.co.uk/bmj/bse.htm (April 11, 1996).

The Official Mad Cow Disease Home Page.  http://www.mad-cow.org/ (May 14, 2001).

Painter, Mike. "Spongiform Encephalopathy: Human Cases Linked to BSE." ProMED Maillist. Http://inet.uni-c.dk/~iaotb/painter.txt (March 30, 1996).

Pratt, Kendra. "Bovine Spongiform Encephalopathy." Factsheet: Veterinary Services. Gopher://ahd/ahi.d/ch.d/bse.f (March 20, 1996).

Pusiner, Stanley B. "The Prion Diseases." Scientific American. Http://www.nmia.com/~mdibble/prion.html (March 28, 1996).

"Terms Used by the Scientists and Explained as Simply as Possible." Term Definitions. Http://www.airtime.co.uk/bse/tse.htm (April 8, 1996).

"Typical Microscopic Appearance of the Brains of Animals with Spongiform Encephalophthy." Http://www.vetmed.ucdavis.edu/ bse/bse&cjd4.htm (April 23, 1996).

Webster, Philip. "Major Raises Hopes to End Beef Ban." The London Times. Http://www.the-times.co.uk/news/pages/times (March 30, 1996).


GLOSSARY

BSE:
Bovine Spongiform Encephalopathy.
Creutzfeld-Jakob disease:
A TSE that gives rise to a pre-senile dementia in humans.
Downer Cows:
Cattle that show neurological problems (an American term).
Epidemiology:
The study of changes in the numbers of cases of disease in relation to time and space.
EU:
European Union.
Kuru:
A disease found in the Fore tribe in New Guinea, and due to the eating of infected tissue by members of the tribe. In general the women ate brain tissue rather than the mean and it was the women and children that died relatively rapidly of the disease.
MAFF:
Ministry of Agriculture Fisheries and Food in the UK.
Prion:
This is the protein that makes up the infectious agent claimed by a large number of groups now to be the infectious particle that transmits the disease from one cell to another and from animal to another. It is made from the normal protein PrPc (the c stands for chromosomal) that is produced in small quantities on many cells and especially in the lymphoid and the nervous.
PrP:
The prion protein. It can exist in various forms. One is PrPc and is the normal type of protein that is found in a cell. One is called PrPsc (or PrPscrapie) that is found in the infectious cells.
RNA:
Ribonucleic acid. Often found in viruses as the nucleic acid that carried the genome of the agent.
Scrapie:
The TSE of sheep or goats.
SEAC:
Spongiform Encephalopathy Advisory Committee. Tyrrell Committee.
TSE:
Transmissible Spongiform Encephalopathy. A disease that can be transmitted from one animal to another and will produce changes in the brain that appear similar to a sponge.
Vertical transmission:
The transmission of an illness from the parents to the offspring.